総合診療科 General medicine department
動物は寿命が人に比べると短い分、病気の進行も人の5~10倍ものスピードで進行していくと言われています。
少しの変化でもそのまま放置しておくと、手遅れになってしまう事も少なくありません。早期に発見し、治療する事によってすぐに治る病気も多いのです。
『何か様子がおかしい』と感じた時には、きっと何かがあるはずです。
早期発見、早期治療が大切なのです。
一般内科
- 循環器科 (心臓病、動脈硬化、静脈瘤、血栓塞栓症など)
- 消化器科 (口腔疾患、食道炎、胃腸炎、胃潰瘍、炎症性腸疾患、大腸炎、など)
- 膵臓疾患 (急性膵炎、慢性膵炎、膵外分泌不全など)
- 肝臓、胆嚢疾患 (肝炎、肝硬変、肝不全、胆嚢炎、胆管炎、胆管閉塞、黄疸など)
- 呼吸器科 (気管支炎、気管虚脱、肺炎、咳、くしゃみなど)
- 腎臓、泌尿器科 (腎不全、腎結石、尿管結石、膀胱炎、膀胱結石、尿道炎、尿道結石など)
- 脳神経科 (脳炎、てんかん発作、椎間板ヘルニア、脊髄疾患など)
- 関節疾患 (関節炎、関節痛など)
- 血液疾患 (貧血、血小板減少症、白血病など)
- 内分泌疾患 (糖尿病、甲状腺ホルモン疾患、副腎ホルモン疾患)
- 免疫疾患 (アトピー性皮膚炎、リウマチ性関節炎、自己免疫性疾患各種)
- 生殖器科 (子宮筋腫、子宮蓄膿症、卵巣のう腫、前立腺肥大、精巣腫瘍など)
- 皮膚科 (膿皮症、アレルギー性皮膚炎、アトピー性皮膚炎、感染性皮膚炎など)
- 耳鼻科 (外耳炎、中耳炎、内耳炎、鼻涙管炎、副鼻腔炎、鼻腔狭窄など)
- 眼科 (角結膜炎、角膜潰瘍、ドライアイ、白内障、緑内障、瞬膜炎、流涙症など)
- 歯科 (歯肉炎、歯周炎、歯槽膿漏、根尖膿瘍、歯石など)
一般外科
- 呼吸器外科 (肺がん切除、気管切開、永久気管開口術、気管虚脱整復など)
- 消化器外科 (胃切開、腸閉塞整復、胃拡張胃捻転整復など)
- 肝臓、胆嚢外科 (肝臓がん摘出、胆管閉塞整復、胆管バイパス手術など)
- 腎臓、泌尿器外科 (腎結石摘出、尿管結石摘出、膀胱結石摘出、尿管バイパス手術など)
- 生殖器外科 (子宮がん摘出、子宮筋腫摘出、精巣腫瘍摘出、前立腺がん摘出など)
- 内分泌外科 (甲状腺がん摘出、副腎腫瘍摘出、膵臓癌摘出)
- 整形外科 (各種骨折整復、各種脱臼整復、前十字靱帯整復、膝関節外科など)
- 脳神経外科 (椎間板ヘルニア整復、環椎軸椎不安定症整復、脳腫瘍摘出など)
問診、触診、聴診、視診、血液検査、血液生化学検査、レントゲン検査、超音波エコー検査、内視鏡検査、CT検査、MRI検査などにより、原因を追究し、治療にあたります。
通院治療や入院治療、場合によっては手術が必要となる事もあります。
一般外科症例
- 尿管閉塞から水腎症を起こし、尿管-膀胱バイパス手術を行った一例
- 胆管閉塞から胆嚢破裂を起こし、胆管閉塞を整復した一例
- 異物により胃から小腸全域に閉塞を起こし、整復した一例
- 子宮蓄膿症
- 腸閉塞
- 膀胱結石(1,2)
- 尿道結石
- 尿道形成術(1,2)
- 胃拡張・胃捻転症候群
- 耳血腫
- 皮下膿瘍
- 会陰ヘルニア
尿管閉塞から水腎症を起こし、尿管-膀胱バイパス手術を行った一例
![]() 正常側の腎臓 |
![]() 尿管閉塞から尿管拡張になり(右)、水腎症を起こしている腎臓(左) |
![]() 尿管閉塞を起こした左側が拡張した尿管、右側が委縮した尿管です。 |
![]() 委縮した尿管を切除し、拡張した尿管を膀胱の尿管開口部まで牽引し、バイパスルートを確保します。 |
![]() |
![]() |
牽引した尿管と尿管開口部で、尿管―膀胱バイパス手術を行います。 |
|
![]() 尿管―膀胱バイパス手術完了後の写真です。 |
![]() 膀胱の尿管開口部の写真です。 |
胆管閉塞から胆嚢破裂を起こし、胆管閉塞を整復した一例
![]() 胆嚢破裂を起こし、大網と癒着しています。 |
![]() 胆泥貯留により胆管閉塞を起こし胆管拡張が起こっています。 |
![]() 胆嚢切開すると中から粘土状の胆泥がでてきます。 |
![]() 貯留した胆泥を全て取り除きます。 |
![]() |
![]() |
十二指腸切開し、胆管十二指腸開口部にも閉塞が起こっているのが分かります。胆管内の胆泥を全て除去し、 |
|
![]() |
![]() |
最後に胆嚢縫合、十二指腸縫合を行い、胆管閉塞整復完了です。 |
|
異物により胃から小腸全域に閉塞を起こし、整復した一例
![]() ロープを飲み込んでしまって、胃から小腸全域で閉塞を起こし、小腸が蛇腹状にねじれて炎症を起こしています。 |
![]() |
![]() |
![]() |
まずは胃内の大きなかたまりの異物を胃切開を行い、摘出し、胃を縫合します。 |
||
![]() |
![]() |
次に小腸全域につまったロープ状異物を小腸切開を行い全て摘出し、小腸吻合します。 |
|
子宮蓄膿症
子宮蓄膿症とは、子宮の中に膿がたまり、放っておくと子宮が破裂したり、子宮内の菌が全身に蔓延してしまう、死に至る緊急性の高い病気です。
早急に外科的摘出が望まれます。
![]() 正常な卵巣子宮 |
![]() 子宮蓄膿症の卵巣子宮 |
![]() 避妊手術にて摘出された正常な卵巣子宮 |
![]() 摘出された子宮蓄膿症の卵巣子宮 |
腸閉塞
腸閉塞とは、異物を食べてしまって、腸につまったり、腸に出来た腫瘍が大きくなり腸の内腔を全てがん細胞で多いつくされたりして、全く腸が動かなくなり、頻回の嘔吐を起こす病気です。
放っておけば、腸が壊死してしまい、死に至る緊急性の高い病気で、早急に手術が必要です。
![]() 【手術前】腸閉塞を起こした小腸、黒く変色している場所が壊死した小腸 |
![]() 【手術後】壊死した小腸を切除し、正常な小腸と小腸を吻合した後 |
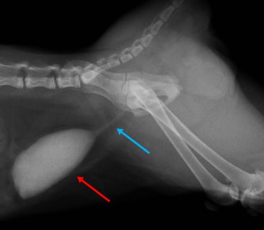
膀胱結石
膀胱結石 ( 症例-1 )
膀胱結石とは、膀胱内に結石が作られて、慢性的に頻尿、血尿、膀胱炎を起こします。
放っておけば、結石はどんどん大きくなり、膀胱や腎臓に負担がかかり、腎不全や、膀胱腫瘍に移行してしまう事があります。なるべく早めの外科的摘出をおすすめします。
![]() 【レントゲン写真】膀胱内に大きく白い結石が確認されます。 |
|
![]() 【手術写真】膀胱切開し中から結石を取り出します。 |
![]() 摘出された膀胱結石 |
膀胱結石 ( 症例-2 )
![]() 膀胱結石摘出前のレントゲン写真 |
![]() 膀胱結石摘出後のレントゲン写真 |
![]() 膀胱内から結石を取り出している写真 |
![]() 膀胱結石を取り出した後の膀胱の写真 |
![]() 膀胱粘膜の縫合が終了した写真 |
|
![]() 摘出された膀胱結石 |
|
尿道結石
尿道結石とは、膀胱内で作られた小さな結石が、尿道へ流れて、尿道内に詰まってしまい、尿道閉塞となり、排尿する事ができなくなり、尿毒素が全身に回り、腎不全を起こしてしまいます。
放っておけば、腎不全が悪化し、死に至る緊急性の高い病気です。
早急に尿道切開し、尿道結石を取り出さなければいけません。
![]() 【尿道造影したレントゲン写真】 |
![]() 【尿道結石を摘出したあとのレントゲン写真】 |
![]() 手術にて摘出された尿道結石 (1mm~3mmと非常に小さい結石です。) |
|
尿道形成術
尿道形成術 ( 症例-1 )
何らかの原因で、正常な尿道の構造が維持できない状態の時に尿道形成術を行います。
猫ちゃんでは尿石症により、結石が尿道につまるのを何度も繰り返してしまう場合、この手術が適応されます。
下記の症例は、先天的に尿道が変形しており、日に日に尿道がふさがってしまい、尿道閉塞を起こしてしまった猫ちゃんです。メスの膣とオスの精巣の両方の生殖器を持っていた奇形です。
尿道形成術を行い、現在は元気に過ごしております。
![]() |
![]() |
逆行性尿道造影を行ったレントゲン写真です。膀胱(赤矢印)、腹腔内の尿道(黄矢印)は正常に造影されています。 |
|
![]() ① 手術前(ペニスも膣も見えない陰部です) |
![]() ② 皮下に埋もれていた精巣 |
![]() ③ 皮下に埋もれていた膣 |
![]() ④ 膣を切除し、腹腔内の尿道を牽引 |
![]() ⑤ 牽引した尿道を皮下に縫合し、尿道形成術完了 |
|
尿道形成術 ( 症例-2 )
男の子の猫ちゃんでは多い病気で尿道に結石がつまり尿道閉塞を何度も繰り返していたので、尿道を太くし、結石が詰まらないように尿道形成術を行った症例
![]() 手術前のペニスの写真 |
![]() 腹腔内に近い場所の太い尿道を露出させます |
![]() 露出した尿道粘膜と皮膚を縫合し、 |
![]() 新たな尿道口に太いカテーテルが |
胃拡張・胃捻転症候群
胃拡張胃捻転症候群とは、何らかの原因で胃が重度に拡張し、胃内にガスが多量に蓄積され、腹腔内で、胃が捻転してしまい、重症となる病気です。
発症してから、12時間以内に整復手術をしなければ、亡くなってしまう事の多い、怖い病気です。
![]() 【胃拡張胃捻転を起こしたレントゲン写真】 |
![]() 【整復手術後のレントゲン写真】 |
![]() 【胃拡張胃捻転を起こしたレントゲン写真①】 |
|
![]() 【整復手術後のレントゲン写真②】拡張した胃や、ガスは見えなくなりました |
|
![]() 手術写真① 胃拡張を起こした胃 |
![]() 手術写真② |
![]() |
|
手術写真③ 縮小させた胃を、捻転の再発を起こさせないために胃を腹壁に固定します。 |
|
耳血腫
耳血腫とは、外耳炎等が原因で耳を掻いたり、頭を振るなどして、耳の軟骨の間に血が貯まり、耳が腫れあがる病気です。
内科で治るケースもありますが、治りづらい子は、外科手術を行い整復致します。
![]() 耳に血腫がたまり腫れあがっている手術前の写真 |
![]() 血腫がある場所に何か所か人工的に穴を開けます。 |
![]() 血腫が貯まる空間がなくなるように耳の軟骨と軟骨を縫合します。 |
|
皮下膿瘍
皮下膿瘍とは、噛まれたり、異物が体に刺さったりして、皮下が感染を起こし、膿が皮下に貯まる病気です。
特に外猫ちゃんでは、ケンカをする事が多く、皮下膿瘍になる機会が多いです。
軽度なものは、抗生物質等の内服薬で治りますが、重度になると、皮下組織が壊死を起こし、全身に菌がまわり、敗血症を起こし、重症化することがありますので、外科的治療が必要となります。
下記の症例は、皮下膿瘍から始まり、皮下組織の壊死が広範囲に及んでいたので、外科的治療を行った症例です。
![]() 背部を咬まれ、背中に膿が貯まって、 |
![]() 皮下に膿がたまり、 |
![]() 壊死組織を全て取り除き、 |
![]() ドレーンを皮下に挿入し、 |
会陰ヘルニア
会陰ヘルニアとは、男の子に多い病気で、肛門わきの筋肉から、腹腔内の臓器(膀胱や前立腺、腸)が飛び出てきてしまって、排便困難や、排尿困難を起こす病気です。
内科での治療は困難で外科手術が必要となる病気です。
![]() 肛門部左側よりヘルニアを起こしている様子 |
![]() 肛門部右側の会陰ヘルニアの |
![]() 両側会陰ヘルニアを整復し縫合終了した写真 |
|






































































