整形外科 Orthopedics
骨折、脱臼、靭帯の断裂、など外傷で起こってしまうもの、遺伝性や先天性に異常を起こしてしまうものなど動物には様々な整形外科疾患があります。
特に整形外科の病気は非常に痛みが強く、早急な治療が必要となります。
【整形外科症例】
- 股関節脱臼① 関節包再建術とDeVitaピン法と伸縮性創外固定装置を併用して整復した一例
- 股関節脱臼② 腹側方向脱臼を大腿骨頭・寛骨臼固定法にて整復した一例
- 大腿骨粉砕骨折
- 両前肢の骨折:橈骨尺骨骨折整復手術①
- 両前肢の骨折:橈骨尺骨骨折整復手術②
- 後肢の骨折:脛骨腓骨骨折
- 尺骨骨折を伴った肘関節脱臼
- 前肢の骨折:橈骨尺骨骨折
- 後肢の骨折:大腿骨骨折
- 踵骨骨折整復手術
- 骨盤の骨折
- 指の骨折
- 前十字靱帯断裂
- レッグ ― カルベ ― ペルテス病(無菌性大腿骨頭壊死症)
- 膝蓋骨脱臼
股関節脱臼① 関節包再建術とDeVitaピン法と伸縮性創外固定装置を併用して整復した一例
![]() |
![]() |
左の股関節が頭背側方向へ脱臼しているレントゲン写真です。 |
|
![]() 関節包が破れて大腿骨頭がむき出しになっています。 |
![]() 破れてしまった関節包の再建手術を行います。 |
![]() |
|
![]() |
![]() |
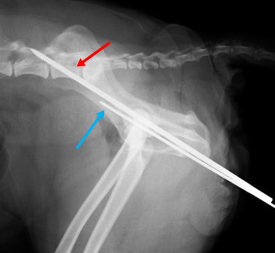
関節包再建術後、大腿骨頭の背側脱臼を防ぐためのDeVitaピンを挿入します。(赤矢印)
|
|
![]() |
![]() |
DeVitaピン(赤矢印)とクロスピン(青矢印)を挿入後、大腿骨の外旋を防ぎ、
|
|
股関節脱臼② 腹側方向脱臼を大腿骨頭・寛骨臼固定法にて整復した一例
![]() 正面からみたレントゲン写真です。 |
![]() ピンを用いて大腿骨頭・寛骨臼固定を行います。 |
![]() 横からみたレントゲン写真です。 |
![]() ピンを用いて大腿骨頭・寛骨臼固定を行います。 |
![]() 手術中の様子の写真です。 |
|
大腿骨粉砕骨折
![]() 骨折時レントゲン写真① |
![]() 手術後レントゲン写真① |
![]() 骨折時レントゲン写真② |
![]() 手術後レントゲン写真② |
![]() 手術写真① |
![]() 手術写真② |
![]() 手術写真③ |
両前肢の骨折:橈骨尺骨骨折整復手術①
<右前肢>
![]() 来院時の右橈骨尺骨骨折のレントゲン写真 |
![]() 手術後のレントゲン写真 |
![]() |
![]() |
![]() |
手術写真です。骨折端を露出させ、骨折端を合わせて、プレートとスクリューにて固定します。 |
||
<左前肢>
![]() 来院時の左橈骨尺骨骨折のレントゲン写真 |
![]() 手術後のレントゲン写真 |
![]() |
![]() |
![]() |
手術写真です。骨折端を露出させ、骨折端を合わせて、プレートとスクリューにて固定します。 |
||
両前肢の骨折:橈骨尺骨骨折整復手術②
![]() 手術前レントゲン写真① |
![]() 手術後レントゲン写真① |
![]() 手術前レントゲン写真② |
![]() 手術後レントゲン写真② |
後肢の骨折:脛骨腓骨骨折
![]() 骨折時 |
![]() 手術後 |
![]() 手術写真① |
![]() 手術写真② |
![]() 手術写真③ |
|
尺骨骨折を伴った肘関節脱臼
![]() 手術前レントゲン写真 |
![]() 手術後レントゲン写真 |
![]() 手術中の肘関節の写真 |
|
前肢の骨折:橈骨尺骨骨折
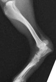
![]() 骨折時 |
![]() 手術後 |
![]() 骨折治癒 |
![]() 最後に金属の金具を取り除き完治 |
後肢の骨折:大腿骨骨折
![]() 骨折時 |
![]() 手術後 |
![]() 骨折治癒 |
![]() 手術写真① |
![]() 手術写真② |
![]() 手術写真③ |
踵骨骨折整復手術
<右踵骨骨折整復手術>
![]() 正常な踵骨のレントゲン写真 |
![]() 右踵骨骨折のレントゲン写真 |
![]() 手術後のレントゲン写真 |
![]() 正常 |
![]() 骨折 |
![]() 整復 |
![]() 手術写真① 踵骨の骨折部分です。 |
![]() 手術写真② 正常な踵骨の位置まで牽引します。 |
![]() 手術写真③ ピン2本の挿入とテンションバンドワイヤー法を用いて整復します。 |
|
<左踵骨骨折整復手術>
![]() 正常な踵骨のレントゲン写真 |
![]() 左踵骨骨折のレントゲン写真 |
![]() 手術後のレントゲン写真 |
![]() 正常 |
![]() 骨折 |
![]() 整復 |
![]() 手術写真① 骨折部位 |
![]() 手術写真② |
骨盤の骨折
![]() 骨盤が骨折し、激しく変形しています。 |
![]() 正常な位置へ骨盤を整復し |
指の骨折
![]() 左の指が3本、右の指が1本骨折しています。 |
![]() 正常な位置に整復し、ピンを挿入して固定します。 |
![]() 手術写真 |
|
前十字靱帯断裂
![]() 手術写真① |
![]() 手術写真② |
![]() 手術写真③ |
![]() 手術写真④ |
レッグ ― カルベ ― ペルテス病(無菌性大腿骨頭壊死症)
レッグカルベペルテス病(無菌性大腿骨頭壊死症)とは
大腿骨頭への血液供給源である大腿からの血管が細くなり虚血し、大腿骨頭が壊死する病気です。正常な体重の加重下で大腿骨頭の破壊と変形がみられ、股関節の疼痛を伴い、跛行が起こり、その結果重度の大腿の筋委縮が起こります。
原因は不明であるが、遺伝因子が考えられています。
主に、小型犬の若齢の犬に多く認められ、
特にトイプードル、ミニチュアピンシャー、ケアーンテリア、ウエスティー、
などの犬種での発生が最も多く認められています。
診断は、レントゲン検査で行い、大腿骨頭の変形、大腿骨頭のX線透過性領域の増大、大腿骨頚の肥厚、股関節腔の拡張、などが認められます。
治療は、通常は外科的手術が第一選択となり、痛みを緩和する目的で大腿骨頭切除術が推奨されます。
![]() 手術前のレントゲン写真です。 |
![]() 手術後のレントゲン写真です。 |
![]() 手術写真① |
![]() 手術写真② |
![]() 手術写真③ |
![]() 切除されたレッグカルベペルテス病に侵された大腿骨頭および大腿骨頚部です。 |
||
膝蓋骨脱臼
膝蓋骨とは膝のお皿の事で、このお皿の骨が脱臼することを膝蓋骨脱臼といいます。
チワワやトイプードル、ミニチュアダックスフンドなどの小型犬種に多く発症し、
主に内側へ脱臼します。膝蓋骨脱臼には重症度の分類がなされており、グレード1からグレード4まで様々あります。高グレードの膝蓋骨脱臼では痛みを伴い、また、脛骨変形や半月板損傷、膝関節炎が起こり、跛行の原因となります。
原因は不明であるが、遺伝因子が考えられています。
高グレードの膝蓋骨脱臼では通常外科的整復手術が必要となるケースが多いです。
外科的整復の手術方法はたくさんありますが、
当院では、出来る限り膝への負担が少ない手術方法「S-K法」を用いて手術を行っております。
![]() 膝蓋骨脱臼を起こしているレントゲン写真 |
![]() S-K法にて整復手術した後のレントゲン写真 |
![]() 手術写真① |
![]() 手術写真② |
![]() 手術写真③ |
|
手術写真①では膝蓋骨脱臼の原因である内側膝蓋靱帯が断裂している様子です。
|
||




























































































